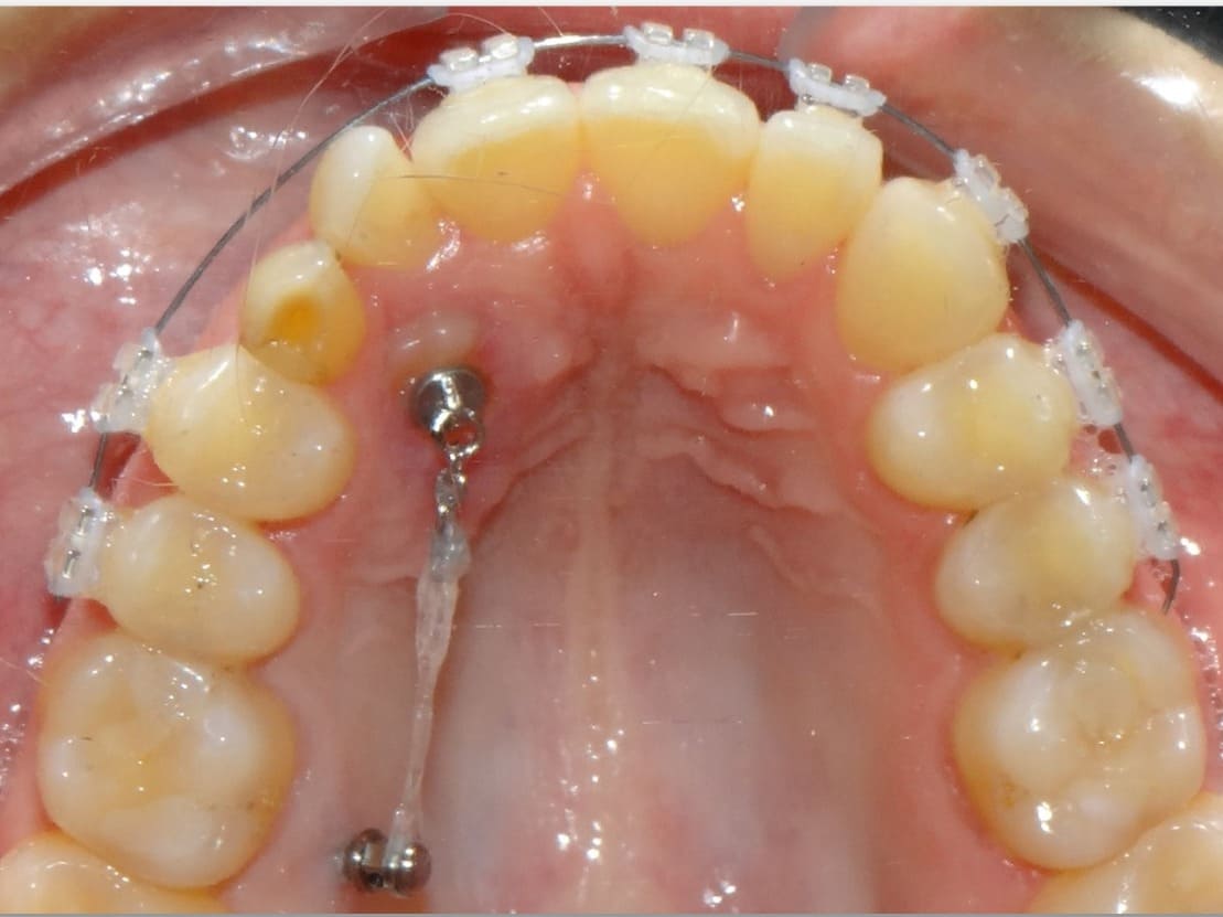
Ancoragem Esquelética

Turma 22

Dias: 13, 14 e 15 de Abril de 2026

24 horas

Prof. Paulo Stopa

Teórico e laboratorial

Qual o investimento? Clique Aqui Quero saber mais sobre o curso Quero me INSCREVER
Ancoragem Esquelética

O que você vai aprender nesse curso

Capacitar o ortodontista quanto a eleger a melhor estratégia biomecânica com o uso de ancoragem esquelética. A abrangência do curso oferecerá conhecimento quanto aos mini implantes intra-alveolares, extra-alveolares, palatino e MARPE, tanto na liga de titânio quanto aço inoxidável

Quero me INSCREVER

Apostila personalizada!

Com linguagem clara e objetiva, o conteúdo aborda as mais variedades técnicas de instalação com exemplos de casos clínicos.

Qual o diferencial do curso que irá refletir na correia do aluno

O curso de Ancoragem Esquelética é indicado para ortodontistas (cirurgiões e periodontistas) que desejam iniciar, atualizar e se aprofundar na vanguarda da biomecânica ortodôntica norteada pelo uso de mini implantes visando oferecer tratamentos mais eficientes e precisos aos pacientes.

Quem será seu professor

Investimento

À vista R$ 1850,00

05 parcelas de

R$R$ 370,00

Quero garantir a minha vaga
WhatsApp